GLEAMER, la MedTech française qui développe une plateforme de logiciels d’intelligence artificielle d’aide au diagnostic à destination des radiologues vient d’être référencée par le réseau coopératif Vidi, pour ses solutions d’aide à la détection de lésions sur les radiographies osseuses traumatiques et sur les radiographies thoraciques.
Pour Vidi, l’IA permettra d’augmenter le confort d’exercice des radiologues Vidi tout en améliorant la qualité de la prise en charge des patients. C’est pourquoi une commission de radiologues passionnés par le sujet a été créée en 2020 avec pour objectif de coconstruire avec des industriels et des startups les innovations dont l’imagerie médicale de demain a besoin. « Les radiologues du réseau Vidi sont convaincus que l’IA sera intégrée naturellement dans la radiologie de demain, et qu’elle offrira de belles perspectives à la profession : gain de précision des diagnostics, réduction des délais de prise en charge… » témoigne le Dr David Facon, radiologue chez PICTAVIX et Directeur Général de Vidi depuis juin.
A l’issue d’une consultation qui aura duré 3 mois et qui aura impliqué 4 groupes d’imagerie membres du réseau Vidi, les solutions de GLEAMER ont été retenues pour leur pertinence clinique et leur performance, éprouvées sur 40 dossiers difficiles sélectionnés par les médecins de la commission, soit près de 200 images. L’ensemble des radiologues du réseau, mais aussi le panel de fournisseurs consultés ont salué le professionnalisme du groupe de travail multi compétences. A cette occasion de nombreux critères ont été mesurés et évalués tels que : les caractéristiques intrinsèques de l’outil, l’intégration dans l’environnement de travail des médecins, la sensibilité, la spécificité, le modèle économique proposé aux membres Vidi, la solidité financière de la société et enfin la capacité à codévelopper de nouveaux algorithmes et à faire progresser ceux existants. Déjà 9 groupes membres du réseau Vidi sont en cours d’installation de la solution.
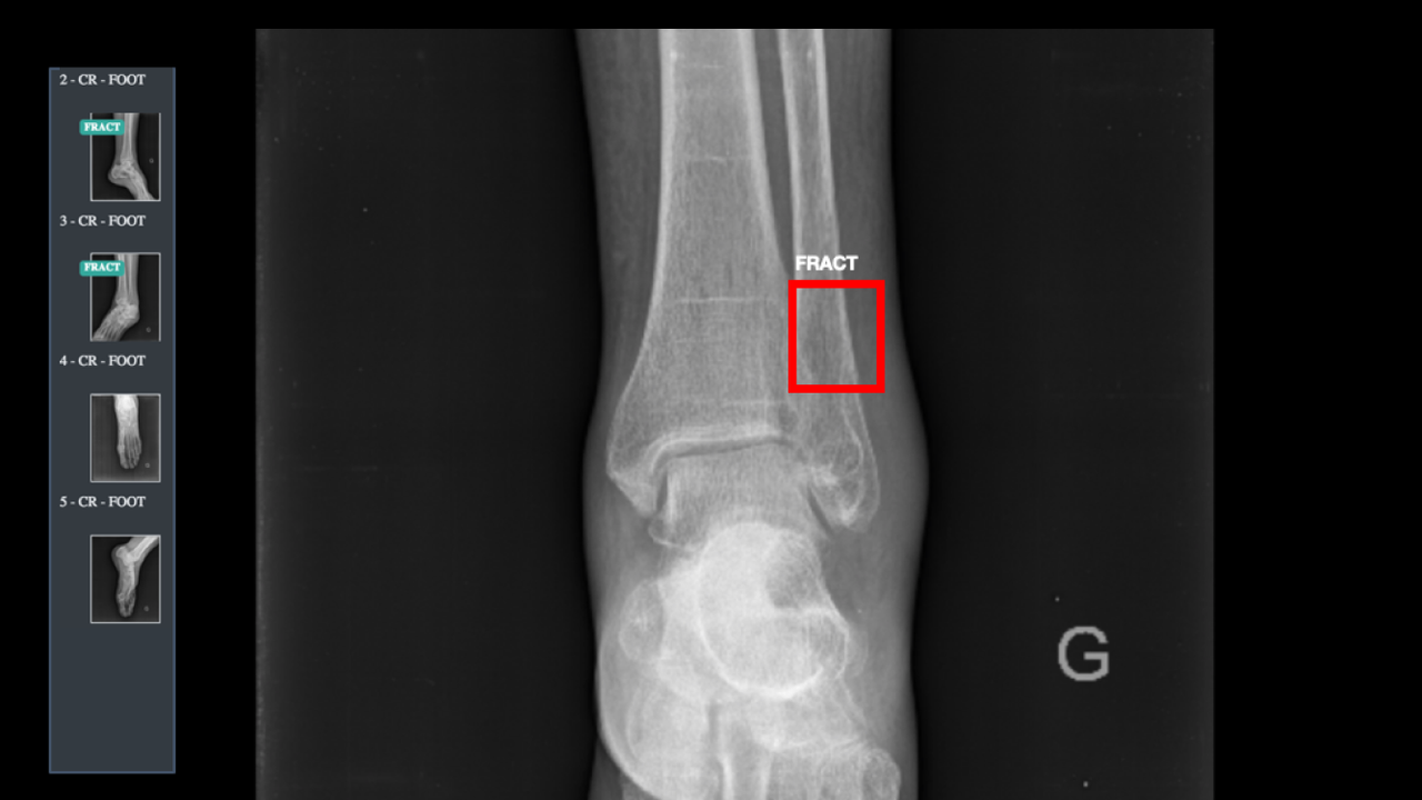
L’augmentation de la charge de travail en imagerie, les interruptions, la fatigue ou encore les biais cognitifs de lecture sont autant de facteurs qui affectent l’interprétation des examens. Les fractures manquées représentent ainsi jusqu’à 80% des erreurs diagnostiques dans les services d’urgence, et sont la 2e cause de plaintes des patients. D’après une étude clinique publiée dans Radiology(1), la solution BoneView de GLEAMER permet de réduire de 30% le taux de faux négatifs, et de gagner en efficacité.
Comme en témoignent les docteurs Romain Malezieux chez Imagerie Loire-Forez à Saint-Etienne et Pascal Kervennic chez RIM 29 Sud à Quimper : « BoneView nous permet de gagner du temps et de gagner en confiance dans nos diagnostics, comme un filet de sécurité face aux erreurs possibles. Le déploiement des solutions GLEAMER se fait 100% à distance. BoneView et ChestView s’intègrent directement au PACS pour renvoyer les résultats dans l’environnement de travail habituel du radiologue. »
Vidi et GLEAMER souhaitent accompagner les radiologues vers une pratique d’excellence pour une meilleure qualité des soins et des parcours patients fluidifiés. L’IA fait partie intégrante de la stratégie du réseau Vidi qui est toujours à l’écoute des innovations.
GLEAMER propose à ses utilisateurs des formations spécifiques dédiées aux radiologues, manipulateurs électroradiologie, physiciens ou ingénieurs biomédicaux, pour mieux appréhender les outils d’IA et garantir une implémentation efficace et coordonnée.

